中文名稱: 兔抗GRIA1多克隆抗體
英文名稱: Anti-GRIA1 rabbit polyclonal antibody
別 名: glutamate ionotropic receptor AMPA type subunit 1; GLUH1; GLUR1; GLURA; GluA1; HBGR1
相關類別: 一抗
儲 存: 冷凍(-20℃)
宿 主: Rabbit
抗 原: GRIA1
反應種屬: Human, Mouse, Rat
標 記 物: Unconjugate
克隆類型: rabbit polyclonal
技術規格
|
Background:
|
Glutamate receptors are the predominant excitatory neurotransmitter receptors in the mammalian brain and are activated in a variety of normal neurophysiologic processes. These receptors are heteromeric protein complexes with multiple subunits, each possessing transmembrane regions, and all arranged to form a ligand-gated ion channel. The classification of glutamate receptors is based on their activation by different pharmacologic agonists. This gene belongs to a family of alpha-amino-3-hydroxy-5-methyl-4-isoxazole propionate (AMPA) receptors. Alternatively spliced transcript variants encoding different isoforms have been found for this gene.
|
|
Applications:
|
ELISA, IHC
|
|
Name of antibody:
|
GRIA1
|
|
Immunogen:
|
Synthetic peptide of human GRIA1
|
|
Full name:
|
glutamate ionotropic receptor AMPA type subunit 1
|
|
Synonyms:
|
GLUH1; GLUR1; GLURA; GluA1; HBGR1
|
|
SwissProt:
|
P42261
|
|
ELISA Recommended dilution:
|
5000-10000
|
|
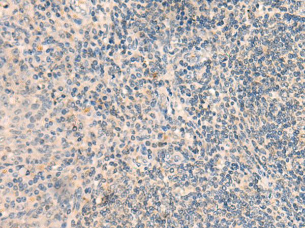
IHC positive control:
|
Human brain and Human tonsil
|
|
IHC Recommend dilution:
|
10-50
|
.jpg)
.jpg)
酶聯生物經過不斷的實驗優化和改進,積累了大量的經驗,擁有專業的酶聯研發團隊。利用專業的酶聯免疫技術自主研發的elisa試劑盒,能對血清及其它樣本定量檢測抗原,定性檢測特異性抗體。優質的試劑,先進的儀器和正確的操作是保證ELISA檢測結果準確可靠的必要條件。ELISA檢測的方便性、穩定性、重復性和可靠性方面都具有很大的優勢。
ELISA檢測技術服務內容:
1、雙抗體夾心法檢測抗原 2、間接法檢測抗體 3、為客戶提供各種ELISA技術進行樣本檢測。

以上代測費,凡購買本公司試劑盒,我們免費代測!
凡購買本公司目錄任何一種酶聯免疫檢測試劑盒,您只需將需要檢測的動物(Human, Rat, Mouse, Rabbit, Monkey,
Pig……)種類和檢測指標(白介素類、激素類)及標本數量(48T/96T)通知公司業務員即可。在接到客戶標本當日起,現貨產品一周內將檢測報告交到客戶手中!
歡迎各科研單位在各種項目上與我們公司開展不同層次的密切合作,以雙贏求發展,共同進步,為中國檢測事業的發展積累經驗。
二、樣本要求
在收集標本前都必須有一個完整的計劃,必須清楚要檢測的成份是否足夠穩定。我們提倡新鮮標本盡早檢測,對收集后當天就進行檢測的標本,及時儲存在4℃備用,如有特殊原因需要周期收集標本,請造模取材后,將標本及時分裝后放在-20℃或-70℃條件下保存。因冰室與室溫存在一定溫差,蛋白極易降解,直接影響實驗質量,所以避免反復凍融。代測放免標本的客戶取材前須向我司銷售人員索要說明書,具體操作注意事項請與我司技術人員溝通。
液體類標本:標本必須為液體,不含沉淀。包括血清、血漿、尿液、胸腹水、腦脊液、細胞培養上清、組織勻漿等。
血清:室溫血液自然凝固10-20分鐘后,離心20分鐘左右(2000-3000轉/分)。收集上清。如有沉淀形成,應再次離心。
血漿:應根據試劑盒的要求選擇EDTA、檸檬酸鈉或肝素作為抗凝劑,加入10%(v/v)抗凝劑(0.1M檸檬酸鈉或1%heparin
或2.0%EDTA.Na2)混合10-20分鐘后,離心20分鐘左右(2000-3000轉/分)。仔細收集上清。如有沉淀形成,應再次離心。
尿液、胸腹水、腦脊液:用無菌管收集。離心20分鐘左右(2000-3000轉/分)。仔細收集上清。如有沉淀形成,應再次離心。
細胞培養上清:檢測分泌性的成份時,用無菌管收集。離心20分鐘左右(2000-3000轉/分)。仔細收集上清。檢測細胞內的成份時,用PBS(PH7.0-7.4)稀釋細胞懸液,細胞濃度達到100萬/ml左右。通過反復凍融,以使細胞破壞并放出細胞內成份。離心20分鐘左右(2000-3000轉/分)。仔細收集上清。保存過程中如有沉淀形成,應再次離心。
組織標本:切割標本后,稱取重量。加入一定量的PBS,緩沖液中可加入1μg/L蛋白酶抑制劑或50U/ml的Aprotinin(抑肽酶)。用手工或勻漿器將標本勻漿充分。離心20分鐘左右(2000-3000轉/分)。仔細收集上清置于-20度或-70度保存,如有必要,可以將樣品濃縮干燥。分裝后一份待檢測,其余冷凍備用。
三、寄標本時需注明以下情況:
1、標本編號;2、所測項目;3、是否做復孔;3、聯系方式;4、實驗后標本是否寄回。
客戶須知:
客戶應對所提供的材料及信息負責,如因客戶提供的材料及信息不準確而引起的實驗延誤或經濟損失由客戶承擔。
上海酶聯生物抗體常見問題匯總
1. 收到抗體產品后應如何處理
收到抗體后,在分裝儲存及使用時需在生物安全柜中進行,并使用無菌槍頭、離心管、注射器和緩沖液等,降低污染率。另外,使用前抗體要處于低溫狀態。
2. 如何正確保存抗體抗體產品
請將抗體置于4℃避光儲存。無菌操作。即使分裝后,也不推薦將抗體冷凍保存。避免將抗體稀釋至工作濃度后在4℃條件下儲存超過一天,建議現用現配。
3. 如果沒按說明書上的儲存要求,將抗體置于室溫儲存了一段時間,還可以繼續使用
一般來說,室溫下放置幾個小時不會影響抗體的活性,但是放置幾天或者更長時間則有可能會導致蛋白降解,影響抗體活性,不建議使用。
4. 抗體抗體的保質期有多久
按說明書要求儲存,抗體抗體有效期為1年。
5. 抗體抗體是凍干粉還是液體形式
抗體抗體均以無菌PBS緩沖液的形式提供。該溶液中不含穩定劑、防腐劑、載體蛋白、甘油或任何其他添加劑。抗體的pI值決定了PBS緩沖液的pH值。
6. 抗體收到后有漂浮物、絮狀沉淀或聚集物是否正常?應如何處理
存在聚集物或沉淀物屬于正常現象,不會影響抗體的活性。可以在室溫下輕輕搖晃使其溶解,或過濾或離心去除。
7. 抗體抗體的濃度是多少
抗體不同批次抗體的濃度不同,但一般來說是在4到11mg/mL之間。包裝的離心管上會標記抗體的具體濃度。如果需要在訂購之前知道產品的確切濃度,如果不能確定可以先聯系我們。
8. 應如何稀釋抗體至工作濃度
在沒有InVivoPure稀釋緩沖液的情況下,可以使用與抗體PBS緩沖液pH相同或相近的的無菌PBS,以避免蛋白聚集。稀釋時,建議使用預冷緩沖液,并在生物安全柜中操作,使用無菌槍頭、試管、注射器和緩沖液來保持抗體的無菌性。應避免將抗體稀釋至工作濃度后在4℃條件下儲存超過一天。
9. 抗體抗體的氨基酸或DNA序列是什么
我們的抗體是使用標準雜交瘤技術生產的,因此抗體的AA或DNA序列通常是未知的。
10. 抗體抗體的抗原表位是什么
抗體不提供抗原表位信息,請客戶咨詢上海酶聯生物。
11. 抗體抗體在體內的半衰期是多久
廠家內部并沒有抗體在體內的半衰期數據。因為抗體的半衰期是高度可變的,并且受到物種、同型、抗原分布、抗原濃度和許多其他因素的影響。參考與您實驗條件及設計相近的實驗數據,預估抗體的半衰期。
12. 抗體抗體是否適用于體內注射實驗
抗體所有的產品都是專門為體內使用而配制的。所有抗體均在無菌 InVivoPure緩沖液中配制。抗體溶液不含穩定劑、防腐劑、載體蛋白、甘油或任何其他添加劑。內毒素水平 <2EU/mg ( InVivoMab),這使它們有資格進行大多數體內研究。為了滿足最嚴格的要求,抗體還提供內毒素水平較低的抗體:<1EU/mg ( InVivoPlus)。
13. 抗體抗體是否適合體外應用
可用于體外應用,例如細胞培養實驗和診斷測定,包括蛋白質印跡、免疫沉淀、IHC、流式細胞術等。請參閱各個產品頁面以獲取已批準的列表每種抗體的應用。另外所有抗體抗體都是未偶聯的,因此流式細胞術和免疫熒光等應用需要使用熒光染料偶聯的二抗。
14. 小老鼠體內注射實驗,應該多久注射一次?每次注射多少抗體
任何給定實驗和抗體的最佳給藥劑量和頻率可能會因實驗系統(即小鼠品系、疾病模型等)、實驗持續時間、靶組織、抗原濃度和許多其他因素而有很大差異細節。出于這個原因,最佳劑量最好通過閱讀與您感興趣的抗體相關的產品參考文獻來確定,以查找與您的實驗系統類似的實驗系統中的已發布數據。以此現有研究為起點,您可以通過實驗優化給藥劑量和頻率。抗體的每種產品在產品網頁上都有最新的參考列表。
15. 體內實驗中同種型對照組是否重要?如何選擇合適的同種型對照
考慮同型對照處理組需要生成可靠的數據,因為它允許研究人員準確地區分以抗原特異性方式從初級抗體結合觀察到的結果和從非抗原特異性結合或抗體注射的其他非特異性作用觀察到的結果。同型對照抗體必須與一抗的宿主物種、同種型和亞類相匹配。為了方便我們的客戶,我們在每個產品頁面上列出了每種抗體的推薦的同型對照貨號。
16. 如果覺得自己的抗體效果不佳,怎么辦
如果您懷疑您的抗體沒有發揮最佳功能,請務必認真填寫并提交技術服務申請表。您填寫的實驗信息越充分,抗體技術團隊的建議才更可靠。